LAYERING COMPOSITE FOR BETTER ESTHETIC!

LAYERING COMPOSITE FOR BETTER ESTHETIC!
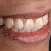
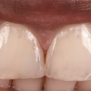
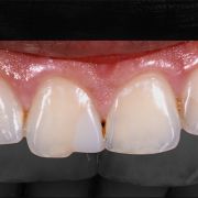
This patient came with old broken class IV composite related to tooth #11. There was no caries or any decalcification around the restoration. Therefore, the decision was made to do a composite repair to restore the shape and shade of the tooth that match the neighboring tooth.

Images