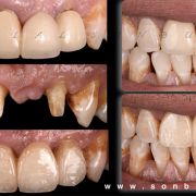
Replacing a missing central !

Replacing a missing central !
TV Show presenter visited my clinic complaining of unpleasant bridge that had been placed couple of years ago. Thorough clinical and radiographic examination was done including smile, teeth and gingival analysis. Implant as a treatment option was excluded due to patient preference. Let us see how I dealt with this case!

Images