Management of such a case needs careful diagnosis and treatment planning. Prof. Ali Alghamdi, Dr Khalid Merdad and I had worked together planning for the case. Ceramic work done by Miss Rehab Kosa
Images
Many reasons behind unattractive gummy smiles.
proper examination that lead to diagnosis is very essential.
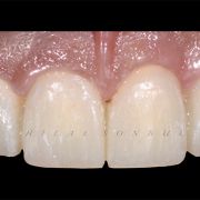
Short teeth and gingival display are very unpleasant
Before coming to me the patient pursued ortho treatment to improve her smile!
Trying to predict the future smile on spot has an important role in designing the patient's own smile. Not to mention, the psychological impact on the patient.
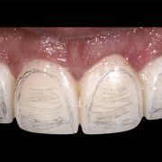
few adjustments and contouring was made, patients' opinion could be considered at this stage. This would help visualizing the future teeth shape and contours.
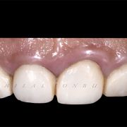
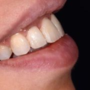
improved teeth width/length ratio and the gingival display has been decreased dramatically. Every 2 weeks, gingival embrasures were opened to provide space for papilla to grow through.
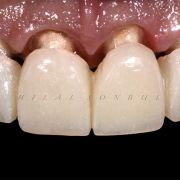
Some staining was applied to provide same shade of the adjacent teeth.
The temporary is used to shape and guid the growth of papilla
notice the healthy look of the gingiva
beautiful healthy papilla
All parameters of teeth and gingiva are analyzed. Width to length ratio, teeth angulations and future shape, embrasures, and gingival contours had been evaluated.