As a result of smile analysis, the present case needed esthetic crown lengthening that was done by prof Ali Alghamdi. The root canal treatment was done by Dr khalid Merdad. Ceramic work done by Mr Raed Ajori
Images
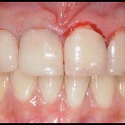
Teeth were square in shape and had improper width to length ratio
Esthetic crown lengthening was needed to improve the width/length ratio and gingival contour. Diagnostic wax up shows the new ratio
Pulps were diagnosed necrotic. Anterior access to preserve more tooth structure !(Dr Khalid Merdad)
To improve the gingival contour and teeth shape and length (Prof Ali Alghamdi)
A templet over the new wax up was made. While smiling, the smile line was marked in patient mouth. The ceramist has an idea of how much teeth would be displayed.
Discussion with the patient at this stage should be considered.
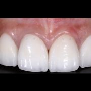
How the smile looks like in the second day after cementation. The papilla not yet settled.
Due to accurate registration, the smile line coincide with the upper border of the lower lip
The new smile should not change the patient character!
One can notice how the appearance of premolar has changed in patient profile
One can notice the healthy gingiva around the veneers and how the interdental papilla fit the embrasures beautifully!
We changed the saturation of the picture to show the gradual porcelain build up and incisal translucency. Otherwise, teeth would look opaque, dull and fake!
Due to proper smile analysis, teeth set is fit within the smile frame
Many long-term relationships have begun with a single pleasant smile!