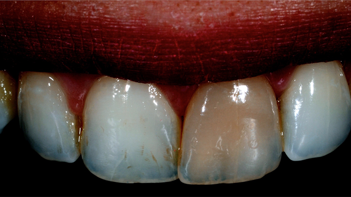
Single Discolored tooth ... CONSERVATIVE APPROACH

Single Discolored tooth ... CONSERVATIVE APPROACH
  • May 18, 2017
Single discolored tooth is a challenge in esthetic dentistry. Regaining the normal color while preserving the natural tooth structure is the ultimate goal.

A teamwork WHAT IT CAN DO?!

A teamwork WHAT IT CAN DO?!
  • May 18, 2017
Badly destructed anterior teeth due to malpractice might render the management challenging. Multidisciplinary approach with patient cooperation would lead to a fantastic outcome.

DESIGNING A PRIDE SMILE

DESIGNING A PRIDE SMILE
  • May 18, 2017
Esthetic does not mean perfect shade using excellent material only, healthy gingiva should be a prime concern.

LAYERING JOURNEY!... What it could be?!

LAYERING JOURNEY!... What it could be?!
  • May 18, 2017
The essence of restoring lost tooth structure is by using composite restoration of different opacities and translucencies to mimic the layering effect of natural tooth structure when natural light passes through.

Anterior Composite restoration ... IS IT EASY TO MATCH THE NEXT TOOTH?!

Anterior Composite restoration ... IS IT EASY TO MATCH THE NEXT TOOTH?!
  • May 18, 2017
A single central incisor would render your smile unpleasant. Restoring such a case is a challenge per se. Understanding of the color physics and most importantly "HOW DO WE SEE WHAT WE SEE !!" is the key of success.

Making The Long Story Short!

Making The Long Story Short!
  • May 18, 2017
Multidisciplinary approach is the key of success when treating such a case. Proper diagnosis, smile analysis and treatment planning should be accomplished after discussing the patient chief complaint along with the problem list.

Brightening the groom night!

Brightening the groom night!
  • May 18, 2017
Nothing worth than a brighter smile during your wedding.